Check out our blog posts
Specialized Maxillofacial Instrumentation Precision Tools for Complex Facial Reconstruction
Facial anatomy is a breathtakingly complex map of delicate nerves, sensory organs, and intricate bone structures. Unlike the long bones of the body, which are built for weight-bearing, the bones of the face—the maxilla, mandible, zygoma, and orbits—are designed for...
Integrated Orthopedic Care A Multi-Disciplinary Approach to Musculoskeletal Health
The human musculoskeletal system is a marvel of biological engineering, comprising a complex network of 206 bones, over 600 muscles, and a vast array of tendons, ligaments, and cartilage. When an injury or degenerative condition strikes, the impact ripples across...
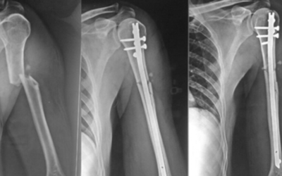
Interlocking Nail Systems Achieving Rotational Stability in Long Bone Fractures
Fractures of the long bones specifically the femur, tibia, and humerus—present unique challenges to orthopedic surgeons. Unlike small bone fractures, these injuries are subject to immense mechanical stresses, including axial loading, bending forces, and,...
Advanced Bone Plate Technology: Dynamic Compression and Locking Solutions
The field of orthopedic traumatology has witnessed a tectonic shift in how fractures are managed. From the rudimentary splints of the past to the sophisticated internal fixation devices of today, the primary goal remains the same: restoring anatomical alignment and...
India’s Leading Orthopedic Manufacturer for Advanced Bone Care Products
In the rapidly advancing world of medical science, the strength of a healthcare system is often measured by its ability to restore mobility and quality of life to its patients. For millions suffering from degenerative bone diseases, sports injuries, or traumatic...
High-Quality Locking T-Fix T-Plate for Reliable Bone Stabilisation
Orthopedic surgery is a field where the margin for error is nearly non-existent. When a patient suffers a complex fracture, the primary goal of the surgeon is to restore anatomy and ensure the patient can return to their daily life as quickly as possible. Among the...
Advanced Ortho Care Products to Support Surgery & Recovery
The journey to recovering from a bone injury or undergoing a major orthopedic surgery is rarely a straight line. It is a process that requires patience, expert surgical skill, and, most importantly, the right tools. From the moment a patient enters the operating...
India’s Premier Orthopaedic Implants Manufacturer In India : Delivering Excellence in Healthcare
The landscape of modern healthcare is shifting rapidly, and at the heart of this transformation is the field of orthopaedics. As life expectancy increases and lifestyle-related bone health issues become more prevalent, the demand for reliable, high-quality medical...
Maxillo Instruments: Precision Tools for Advanced Maxillofacial Surgery
Maxillofacial surgery requires a high level of precision, control, and reliability. Procedures involving the jaw, face, and skull demand specialized tools that allow surgeons to work accurately in delicate anatomical areas. Maxillo instruments play a vital role in...
Ortho Care Clinic: Your Trusted Destination for Complete Bone and Joint Care
Bone and joint health plays a crucial role in maintaining an active and independent lifestyle. From simple movements like walking and bending to complex physical activities, our bones, joints, muscles, and ligaments support every action we perform. When pain,...










